Naturally lifted for a clearer look
Without changing your expression!
Brighten heavy and tired eyelids
For a sharper appearance
Sub brow Lift Surgery
Your form has been submitted
Thank you %NAME% for submitting your inquiry.
We have received your answers. We will contact you asap.
We faced problems while connecting to the server or receiving data from the server. Please wait for a few seconds and try again.
If the problem persists, then check your internet connectivity. If all other sites open fine, then please contact the administrator of this website with the following information.
TextStatus: undefined
HTTP Error: undefined
Some error has occured.
Naturally lifted for a clearer look
Without changing your expression!
Brighten heavy and tired eyelids
For a sharper appearance
Sub brow Lift Surgery
*Image Model
Smooth Out Wrinkles and
Achieve Youthful Eyes!
VIEW Sub Brow Lift Surgery
As aging begins, reduced elasticity causes the eyelids to sag. If left unaddressed, drooping eyelids can obstruct vision and even
lead to impaired eyesight. Visually, they may create a heavy and tired impression. Sub-brow lift surgery provides a solution by addressing
both functional and aesthetic concerns simultaneously, offering a brighter and more refreshed appearance.
In cases of severe eyelid sagging, undergoing a
sub-brow lift can help improve obstructed vision
while simultaneously enhancing a heavy or tired
appearance.
VIEW is Art!
VIEW! The Ultimate Choice
for Beauty
* This image was taken and published with the patient’s consent.
* Surgical outcomes may vary depending on individual circumstances.
Weโre VIEWTIST
When sagging eyelids obstruct your vision.
When heavily sagging eyelids make you look older or tired
When you want to improve sagging skin without creating
a double eyelid line
When existing double eyelid lines are hidden by drooping eyelid skin
When you wish to remove sagging eyelid skin for a youthful and
firm eye appearance
Natural Correction for
Sagging Eyes
Without Significant
Changes
to Eye Shape,
Improve Wrinkles and
Sagging!
After a thorough consultation
with a board-certified plastic
surgeon with years
of experience and accumulated expertise,
a surgical plan is established.
This procedure simultaneously
addresses
aesthetic and functional issues caused by aging,
such as wrinkles around the eyes and sagging
eyelids, ensuring
highly satisfactory surgical
results.
Open Your Eyes
Comfortably and
Prevent Forehead
Wrinkles!
By addressing the difficulty of opening your eyes
caused
by sagging eyelids, which often forces
reliance on forehead
muscles, this procedure
allows for natural and effortless
eye-opening
while naturally preventing the formation of
forehead wrinkles.
Minimal Incisions Along
the Eyebrow Line
With Barely Visible Scars!
After designing based on individual skin aging,
a minimal
incision is made along the lower or
upper eyebrow line.
Excess sagging
skin is removed, and the area is sutured
along
the eyebrow line, leaving scars that are barely
noticeable.
Since 2005
Proven Expertise of โVIEWโ
Through Numerous Surgical
Cases
Since its founding in 2005, VIEW has proven
its expertise
through years of accumulated
experience and numerous
successful surgeries,
delivering naturally beautiful and youthful,
elastic eyes as if they were always that way.
VIEW Sub Brow Lift Surgery
Method
This procedure effectively corrects severe eyelid sagging by making a fine incision along the eyebrow line, removing excess skin and muscle,
tightening the skin, and suturing it for a more defined, lifted appearance with minimal visible scarring.
This procedure effectively corrects severe eyelid
sagging by making a fine incision along the eyebrow
line, removing excess skin and muscle, tightening
the skin, and suturing it for a more defined,
lifted appearance with minimal visible scarring.
* Image Model
Step 01.
Assess the degree of eyelid sagging
and design the incision above or just
below the eyebrow to remove the
necessary amount of tissue.
Assess the degree of
eyelid sagging and design
the incision above or just
below the eyebrow to
remove the necessary
amount of tissue.
Step 02.
Remove sagging skin and muscle,
and secure the orbicularis oculi muscle
tightly to the periosteum to prevent
recurrence of sagging.
Remove sagging skin and
muscle, and secure the or-
bicularis oculi muscle tight-
ly to the periosteum to pre-
vent recurrence of sag-
ging.
Step 03.
Carefully suture the incision to minimize
visible scarring while ensuring a secure
fixation to the periosteum.
Carefully suture the
incision to minimize visible
scarring while ensuring a
secure fixation to the
periosteum.
Step 04.
Achieve a refreshed, natural look
with no drastic changes to your overall
appearance.
Achieve aa refreshed,
natural look with no
drastic changes to your
overall appearance.
VIEW POINT โ
A fine incision is made along the eyebrow line,
and the area is sutured along the same line,
resulting in scars that are barely noticeable after surgery.
Traditional Sub Brow Lift
VS
VIEW Sub Brow Lift
Traditional Sub Brow Lift |
VS |
VIEW Sub Brow Lift |
|
Remove unnecessary sagging eyelid skin, |
Surgery Method |
Remove unnecessary sagging eyelid skin, |
|
Short |
Maintenance Period |
Long lasting results (Increased maintenance period) |
|
Artificial appearance |
Improvement Effect |
Natural improvement with minimal alteration |
Traditional Sub Brow Lift |
|
|
Surgery |
Remove unnecessary sagging |
|
Maintenance |
Short |
|
Improvement |
Artificial appearance |
VIEW Sub Brow Lift |
|
|
Surgery |
Remove unnecessary sagging |
|
Maintenance |
Long lasting results |
|
Improvement |
Natural improvement with minimal |
The orbicularis oculi is a muscle surrounding the eyes
that functions to pull and lower the eyelids
when closing the eyes. It is also a primary contributor
to wrinkles around the eyes and sagging of the eyelids.
Weโre VIEWTIST
A. Both surgeries lift sagging eyelids, but they differ in incision
location and the appropriate method depends on the degree
of sagging. For upper blepharoplasty, the incision is made on the
eyelid itself, while for a sub-brow lift, the incision is made just
above or below the eyebrow. In both cases, the orbicularis oculi
muscle is securely fixed to address the sagging.
A. Both procedures address sagging eyelids, but upper
blepharoplasty involves an incision on the eyelid,
while sub-brow lift surgery makes an incision above or below
the eyebrow, securely fixing the orbicularis oculi muscle
to effectively correct sagging.
โป Orbicularis Oculi Muscle is the muscle used when opening and closing the eyes.
โป Orbicularis Oculi Muscle is the muscle used when opening and closing the eyes.
A. Since the incision is made along the lower edge of the eyebrow line, the scar is not easily visible. Additionally, only minimal
incisions are made, typically at the ends of the eyebrow line, rather than along the entire line. Within about a week,
the scar becomes barely noticeable.
A. A minimal incision is made along the lower edge of the eyebrow
line, making scars barely visible. Within about a week, they heal
to the point where they are almost unnoticeable.
Eye Surgery
All-In-One System
An optimized system covering consultation, examination, surgery, recovery, and aftercare.
Personalized Aftercare
We provide a tailored and systematic
post-surgery care program to promote quick recovery
and minimize concerns about scarring.
AftercareLearn moreEye Surgery
All-In-One System
An optimized system covering consultation, examination, surgery, recovery, and aftercare.
In-House Examination Center
With our in-house examination center, we offer a one-stop system
that ensures safe surgery and comprehensive aftercare,
covering everything from pre-surgery evaluations
to post-surgery check-ups, all within a single facility.
AftercareLearn moreVIEW Plastic Surgeryโs
1:1 Personalized Design
After an in-depth consultation considering the
patient's eye shape,
proportions, and overall
features, we design a line that harmonizes
perfectly with the facial structure and desired
image.
Short Surgery Time,
Natural Results
With skilled surgical expertise, the quick
procedure minimizes bruising
and swelling for
faster recovery, delivering natural and beautiful
eyes that perfectly harmonize with your original
image, as if they
were always yours.
Minimized Scarring,
Faster Recovery
With extensive experience and accumulated
expertise, we minimize
tissue damage during
surgery, ensuring that scars or marks are
not
visible even when the eyes are closed.
Additionally, the short
surgery time reduces
swelling, and personalized aftercare aids in a
faster recovery.
For Healthy and Beautiful
Results
Surgery Day
Self-care Education
Offer Swelling Relief
Packs
3 Days After
Stitch Removal and
Progress
Check
(Non-Incisional Method)
1 Week After
Stitch Removal and
Progress
Check
1 -6 Months
Regular Progress Check
* Subject to Change Based on Individual Conditions. *
We provide self-care
education and products
to help reduce swelling.
We provide personalized
aftercare based
on
individual recovery speed
to aid in faster
and
healthier recovery.
The attending physician
who performed the
surgery
carefully checks
the progress and recovery
process..
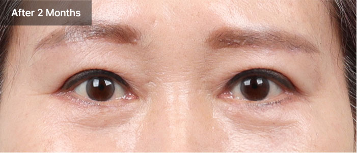
Eye Plastic Surgery
BEFORE & AFTER
Naturally Beautiful Eyes, whether open or closed
VIEW Eye Surgery
Address
107, Bongeunsa-ro, Gangnam-gu, Seoul, Korea
(201-14 Nonhyeon-dong)
Nearest Subway Station: Sinnonhyeon Station, Line 9
Working
hours
Weekday : AM 10:00 โ PM 7:00
Friday : AM 10:00 โ PM 9:00 (Late Treatment)
Saturday : AM 10:00 โ PM 5:00
Tel.
02-539-1177
VIEW is recognized
worldwide
View Plastic Surgery's medical technology,
professional medical staff,
and safety systems are recognized worldwide
Clients from all over the world visit View Plastic Surgery.












There may be complications such as bleeding, infection, and inflammation after surgery. Subjective satisfaction may vary between individuals.
Address: 107, Bongeunsa-ro, Gangnam-gu, Seoul, Korea (201-14 Nonhyeon-dong)
Tel : +82-2-539-1177 | Fax : 02-539-1132
Business Name : View Plastic Surgery | CEO : Choi Soon Woo | License No. : 220-08-86777
โ Copyrightย ย COPYRIGHTยฉ2017 View Plastic Surgery. ALL RIGHTS RESERVED.
