Breath Comfortably and Enhance Your Appearance!
ENT + Plastic Surgery Specialists
Collaboration
Functional
Rhinoplasty
Your form has been submitted
Thank you %NAME% for submitting your inquiry.
We have received your answers. We will contact you asap.
We faced problems while connecting to the server or receiving data from the server. Please wait for a few seconds and try again.
If the problem persists, then check your internet connectivity. If all other sites open fine, then please contact the administrator of this website with the following information.
TextStatus: undefined
HTTP Error: undefined
Some error has occured.
Breath Comfortably and Enhance Your Appearance!
ENT + Plastic Surgery Specialists
Collaboration
Functional
Rhinoplasty
Nose Disorder TEST
By VIEW
Nasal disorders like rhinitis may have symptoms
similar to a cold, such as a runny nose or sneezing,
but they are distinct conditions, and if you
experience even one of the symptoms below,
it may indicate a nasal disorder.
Frequently has a runny nose
Suffers from frequent nasal congestion
despite not having a cold
Breathes through the mouth
when inhaling
Has chronic headaches
Sneezes frequently
Struggles with breathing, often leading to
reduced concentration
Experiences severe snoring
Has difficulty detecting smells
Is My Nose Eligible for
Actual Expense Insurance ?
Severe rhinitis symptoms such as nasal congestion, runny nose, and sneezing can lead to secondary issues like snoring,
migraines, and reduced concentration. For nasal disorders that disrupt daily life, VIEW Plastic Surgery accurately identifies structural issues
inside the nose and combines functional treatments to address these disorders with aesthetic enhancements to create a beautiful
appearance, delivering highly satisfying results.
Severe rhinitis symptoms such as nasal congestion,
runny nose, and sneezing can lead to secondary
issues like snoring, migraines, and reduced
concentration. At VIEW Plastic Surgery, we address
both the functional aspects of treating nasal
disorders and the aesthetic aspects of enhancing
nasal appearance to deliver highly satisfying surgical
outcomes.
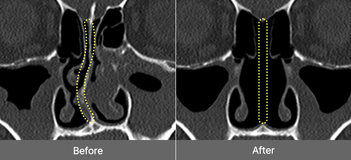
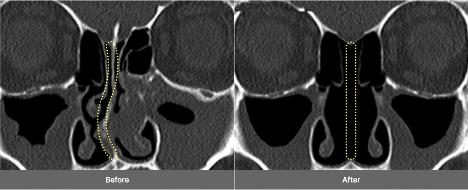
Deviated Nasal
Septum
A deviated nasal septum
occurs when
the cartilage
located at the center of
the nose bends, causing
functional
issues such
as nasal congestion,
rhinitis, and sinusitis.
Treatment Points
Remove the curved septal
cartilage and bone, then
straighten the septal
cartilage
to correct the
shape properly.
Hypertrophic
Rhinitis
Hypertrophic rhinitis
occurs when
inflammation
in the nasal mucosa,
called
the “inferior turbinate,”
causes it
to enlarge,
leading to symptoms such
as nasal congestion and
olfactory
disorders.
Treatment Points
Use a radiofrequency
device to
shrink the
enlarged mucosa
to its
normal size, restoring
normal
breathing.
Nasal Valve
Stenosis
Nasal valve stenosis
occurs when the
upper
portion of the nasal cavity,
responsible for controlling
airflow,
becomes narrow,
causing nasal
congestion
and sleep disturbances.
Treatment Points
Expand the narrowed
nasal
valve space to its
normal range,
enabling
smooth breathing.
Dual Correction from the Inside Out
Straightening the Nose Bridge and Improving Nasal Congestion!
Dual Correction from the
Inside Out Straightening
the Nose Bridge and
Improving
Nasal Congestion!
Functional rhinoplasty addresses both the functional issues of nasal disorders, such as correcting misaligned
cartilage and reducing enlarged mucosa, and the aesthetic aspects of refining the nose’s shape, providing comprehensive
improvement from the inside out.
Functional rhinoplasty addresses both the functional
issues of nasal disorders, such as correcting
misaligned cartilage and reducing enlarged mucosa,
and the aesthetic aspects of refining the nose’s
shape, providing comprehensive improvement from
the inside out.
VIEW Is Art!
Functionality + Aesthetics Together,
Right from the Start with VIEW!
* This image was taken and published with the patientโs consent.
* Surgical results may vary depending on individual circumstances.
3D-CT and Precision
Nasal Endoscopy
Detailed Diagnosis to
Examine
Nasal Interior in Depth!
3D-CT Examination
Before surgery, a 3D-CT scan is conducted to accurately capture internal
nasal structures, including the skeletal structure, nasal bone width, septal
condition, asymmetry, and inferior turbinate size, which are difficult to
observe with the naked eye
A 3D-CT scan is conducted before surgery to
precisely capture internal nasal structures that are
difficult to observe with the naked eye, and an
ENT specialist reviews the results to assess the
condition and determine the need for functional
improvements.
Precision Nasal Endoscopy
Precision nasal endoscopy is performed before surgery to directly
observe internal nasal structures, as 3D-CT provides an overview
for functional nasal surgery.
It is an examination performed before surgery to
directly observe the internal nasal structures and
accurately assess conditions that are difficult to
identify with 3D-CT, such as the state of the nasal
mucosa, polyps, nasal polyposis, and postnasal
drip inflammation.
Treat Nasal Disorders
and Enhance Aesthetics
Simultaneously!
ENT and Plastic Surgery
Specialists
Collaboration
Through the collaboration of ENT and plastic surgery
specialists, precise examinations are conducted to address
functional issues of the nose. The external shape
and line of the nose are carefully designed to harmonize
with the overall facial features. Surgery is then performed,
aiming to achieve high satisfaction in both functional
restoration and aesthetic enhancement.
Consultation and surgery are conducted through
the collaboration of ENT and plastic surgery
specialists, ensuring high satisfaction in both
functional restoration and aesthetic
enhancement of the nose.
Advanced Nasal
Endoscopy and 3D-CT
Precise Nasal Diagnosis
Accurately identifying structural issues inside
the nose is essential for diagnosing the exact cause of nasal
congestion. At VIEW Plastic Surgery, we utilize advanced
nasal endoscopy and 3D-CT to conduct a detailed
examination of the internal nasal structure.
Accurately identifying structural issues inside the
nose is essential for diagnosing the exact cause
of nasal congestion. At VIEW Plastic Surgery,
we utilize advanced nasal endoscopy and
3D-CT to conduct a detailed examination of the
internal nasal structure.
Customized Treatment
Functional Improvement
for
Nasal Disorders
We provide detailed examinations to identify the exact causes
of nasal congestion, runny nose, and sneezing that occur
without a cold, offering tailored treatments and functional
improvement surgeries based on the underlying issues.
We provide detailed examinations to identify the
exact causes of nasal congestion, runny nose,
and sneezing that occur without a cold, offering
tailored treatments and functional improvement
surgeries based on the underlying issues.
Since 2005
Proven Expertise at โVIEWโ
Through Numerous Reviews
Since 2005
Proven Expertise at โVIEWโ
Through Numerous
Reviews
Since its founding in 2005, VIEW has earned recognition through
numerous positive reviews and extensive experience with diverse
cases, skillfully correcting both internal structures and external
appearances to create naturally beautiful and refined nose lines
tailored to any shape or desired style.
Since its founding in 2005, VIEW has earned
recognition through numerous positive reviews
and extensive experience with diverse cases,
skillfully correcting both internal structures and
external appearances to create naturally
beautiful and refined nose lines tailored to any
shape or desired style.
โVIEWโ Rhinoplasty
Real Selfies
Rhinoplasty
All-In-One System
An optimized system covering consultation,
examination,
surgery, recovery, and aftercare.
Personalized Aftercare
We provide a tailored and systematic
post-surgery care program to promote quick recovery
and minimize concerns about scarring.
AftercareLearn moreRhinoplasty
All-In-One System
An optimized system covering consultation,
examination,
surgery, recovery, and aftercare.
In-House Examination Center
With our in-house examination center, we offer a one-stop system
that ensures safe surgery and comprehensive aftercare,
covering everything from pre-surgery evaluations
to post-surgery check-ups, all within a single facility.
AftercareLearn moreEnhanced Longevity!
Perfectly Matches
Your Face Over Time








Specialized Rhinoplasty Dream Team
VIEW Rhinoplasty
Dream Team
We provide personalized designs that harmonize
with your overall facial features and ensure
a seamless, one-stop process from pre- and
post-operative examinations to surgery, recovery,
and aftercare, delivering safe and highly satisfying
rhinoplasty results.
VIEW Plastic Surgeryโs
Based on Ideal Proportions
A Beautiful Nose
with
No Deformities
Through
Personalized 1:1 Surgery
Since every individual has unique facial features and proportions,
simply raising the nose bridge is not enough. At VIEW,
we perform a detailed, multidimensional analysis of each patient's
overall facial structure, including the proportion of features,
forehead-to-nose angle, and nasolabial angle. Using this analysis,
we design the most suitable line for each individual, determining
the ideal height for the bridge and tip. With carefully selected
implants, we ensure long-lasting, deformation-free results that
deliver high satisfaction over time.
Rather than simply raising the nose bridge,
we conduct a detailed analysis to determine the
most suitable line and ideal height for the
bridge and tip, designing and using customized
implants to deliver long-lasting, deforma-
tion-free, and highly satisfying results.
Plastic Surgery and
ENT Specialists
Collaboration System
VIEW Plastic Surgery offers a collaborative
system between
plastic surgeons and
ENT specialists. Through 3D-CT and
endoscopic
diagnosis, we address discomfort caused by
nasal conditions such as nasal congestion,
rhinitis, and
sinusitis, while refining the nose line
to create a more defined
and harmonious
appearance.
Establish a Surgical Plan
after
a Precise Examination
of the
Internal Nasal
Structure and
Tissue
Condition
Using nasal
Endoscopy and
3D-CT
Through detailed examinations of the internal
nasal structure
and tissue using 3D-CT and
endoscopy, we accurately
diagnose hidden
issues. Based on these findings,
we identify
the exact causes and develop a
personalized 1:1 surgical plan
tailored to each
patient.
On-Site Insurance
Specialist for
Medical Guidance on
Nasal
Disorder Surgeries
Surgeries for nasal conditions causing issues like nasal
congestion and chronic headaches are classified as treatment
procedures and may be eligible for medical expense
reimbursement. At VIEW Plastic Surgery, an on-site insurance
specialist is available to guide you through the process and help
you access medical reimbursement benefits.
Surgeries for nasal conditions, classified as
treatment procedures eligible for medical
expense reimbursement, are supported at
VIEW Plastic Surgery with an on-site insurance
specialist to assist you.
*Medical reimbursement eligibility varies depending on your
insurance policy
coverage.
*For detailed information, please contact your insurance provider.
From Implants o
Autologous
Tissue
Personalized Prosthetics
for
Each Individual
Depending on the shape of the nose and the
degree of change
desired, we select the most
suitable prosthetic material, from
implants to
autologous tissue, to perform a fully customized
pro-
cedure. Experienced plastic surgeons with
in-depth
knowledge of the characteristics,
advantages,
and disadvantages of all materials
develop the optimal
surgical plan for each patient.
Confident in Every Nose
There is no fixed answer in rhinoplasty.
At VIEW Plastic Surgery, we do not perform the same surgery
on everyone. With the rich expertise and aesthetic sense of
our dedicated rhinoplasty specialists, we focus on each
individual patient, considering their desired improvements,
facial structure, and current condition to create the ideal
nose line for them.
At “VIEW,” we donโt perform the same surgery for
everyone. Instead, our dedicated rhinoplasty
specialists focus on each individual patient,
leveraging their extensive expertise and aesthetic
sense to create the ideal nose line tailored to each
personโs unique needs and preferences.
* Image Model

A sleek and defined line
that runs straight from
the bridge
to the tip
without any curves,
creating a sharp and
sophisticated image.

A line that forms a
gentle curve from the
bridge to the tip,
offering a more natural
and soft appearance
compared
to the
traditional curved line.

Closer to a straight line
than the semi-curved
line,
with softer and
more gradual slopes,
exuding an elegant
and
refined image.
* Image Model
For Healthy and Beautiful
Results
Surgery Day
Progress Check
3 Days After
Surgical area
Check and Dressing
1 Week After
Begin the care
program after remove
the nasal splint
1 -3 Months
Regular Progress Check
* Subject to Change Based on Individual Conditions. *
We provide self-care
education and products
to help reduce swelling.
We provide personalized
aftercare based
on
individual recovery speed
to aid in faster
and
healthier recovery.
The attending physician
who performed the
surgery
carefully checks
the progress and recovery
process.
Address
107, Bongeunsa-ro, Gangnam-gu, Seoul, Korea
(201-14 Nonhyeon-dong)
Nearest Subway Station: Sinnonhyeon Station, Line 9
Working
hours
Weekday : AM 10:00 โ PM 7:00
Friday : AM 10:00 โ PM 9:00 (Late Treatment)
Saturday : AM 10:00 โ PM 5:00
Tel.
02-539-1177
VIEW is recognized
worldwide
View Plastic Surgery's medical technology,
professional medical staff,
and safety systems are recognized worldwide
Clients from all over the world visit View Plastic Surgery.












There may be complications such as bleeding, infection, and inflammation after surgery. Subjective satisfaction may vary between individuals.
Address: 107, Bongeunsa-ro, Gangnam-gu, Seoul, Korea (201-14 Nonhyeon-dong)
Tel : +82-2-539-1177 | Fax : 02-539-1132
Business Name : View Plastic Surgery | CEO : Choi Soon Woo | License No. : 220-08-86777
โ Copyrightย ย COPYRIGHTยฉ2017 View Plastic Surgery. ALL RIGHTS RESERVED.

* Image Model